USA & Canada
USA & Canada

Register to Watch On Demand

Radio matrix

Join us for an insightful webinar as we dive into the innovative realm of additive manufacturing with Radiomatrix.

Wednesday, Oct 11, 10 AM Central Time, 4 PM UK Time

Together, we'll unveil the potential of radiopaque materials for cutting-edge applications. Explore the way Radiomatrix materials grant you the power to seize control over scan values on your 3D models. Don't miss out—register now to unlock the boundless possibilities of RadioMatrix materials.

Overview 

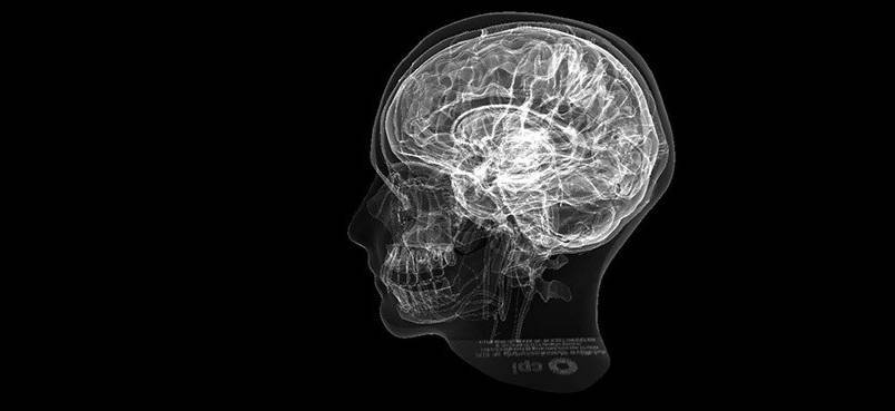
This webinar will discuss the development of a 3D-printed radiopaque medical model of cerebral angiography for training and research. The model was printed on the Digital Anatomy 3D Printer by CPI, a leading provider of additive manufacturing solutions, using Stratasys RadioMatrix, a radiopaque 3D print material specifically designed for creating medical models to exhibit radio-realistic features under imaging modalities X-Ray and CT.

The webinar will cover the following topics:

  • The challenges of creating realistic and accurate models for cerebral angiography training and research

  • How Stratasys RadioMatrix addresses these challenges

  • The benefits of using a 3D-printed radiopaque medical model for cerebral angiography 

  • The collaboration between CPI and Beaumont Hospital to develop this groundbreaking use case.

  • The outcomes of the project, including:

    • Excellent accuracy and fidelity of the phantom head when subjected to various imaging modalities

    • The phantom provided a reliable and cost-effective alternative to using real patients or phantoms of rigid geometric configurations for training and research purposes

Join us to learn more about how innovation in 3D printing is revolutionizing medical training and research.

Speakers
Wayne morton
Wayne Morton
Principal Mechanical Design Engineer - CPI

With a wealth of experience in design, product development, and intricate manufacturing techniques, Wayne Morton plays a pivotal role at CPI. His expertise lies in assisting companies to conceptualize and create medical, wearable, and in vitro diagnostic (IVD) devices.

Ruth Birdcut
Ruth Bridcut (Guest)
Physicist at Beaumont Hospital

Bringing nearly a decade of expertise from the NHS and Irish hospitals, Ruth specializes in providing invaluable medical physics support across a spectrum of diagnostic imaging applications. Her proficiency spans general X-ray imaging, Computed Tomography, MRI, and Interventional Radiology.