Latin-America (Português)
Latin-America (Português)
Case Study

Enhancing Veterinary Care with 3D Printing


3D printed dog heads used for medical training

3D printed models can reflect a patient's anatomy with remarkable accuracy. This creates new possibilities for safe, efficient training and planning in veterinary neurosurgery."

Dr. Wojciech Panek
University of Pennsylvania
School of Veterinary Medicine 

The Challenge: Bridging the Training and Technology Gap in Veterinary Neurosurgery

At the University of Pennsylvania School of Veterinary Medicine, Dr. Wojciech Panek is tackling a core issue in veterinary neurology: the lack of practical, patient-specific tools to train clinicians and plan complex neurosurgical procedures, such as minimally invasive brain biopsies for pet dogs affected with brain tumors.

Unlike in human medicine, where advanced imaging workflows and surgical planning models are widely adopted, veterinary specialists often face limited access to comparable training and clinical resources. For veterinary neuro-oncology, this creates a high-stakes challenge.

Typically, dogs with neurological signs suggestive of brain abnormalities are screened with magnetic resonance imaging (MRI), and this is how brain tumors are identified. Next, based on the imaging features, attempts are being made to determine what specific type of brain tumor clinicians might be dealing with. Although an MRI is a sensitive imaging tool that provides essential information, a definitive diagnosis can only be made via biopsy. Minimally invasive brain biopsies are being routinely performed in the human neurosurgery field; however, this gold standard procedure is not widely available in the veterinary medicine world.

Dr. Panek aims to address this lack through an anatomically accurate, CT-and MRI-visible phantom model of the patient’s brain using Stratasys’ Digital Anatomy Printer. With a model that can be imaged and physically used for training and procedure planning, clinicians could practice safely, plan precisely, and avoid unnecessary procedures on live animals.

translucent 3d printed dog head by Stratasys PolyJet 3D printing technology

The Solution: Patient-Specific Models for Imaging and Intervention

To test the feasibility of this approach, Dr. Panek collaborated with Stratasys and Axial3D to develop a 3D printed model—or “physical twin”—of a canine brain. The team selected a unique case from their database: a Boxer named Charlotte, who had undergone both CT and MRI scans over a decade ago, suggestive of glioma.

Several versions of the model were produced using Stratasys' Digital Anatomy solution to allow for CT and MRI imaging. Axial3D handled the intricate segmentation, combining MRI data for soft tissue structures like ventricles and the tumor with CT data for bone and muscle detail. To maximize training potential, the team added a second, artificial tumor to the model for biopsy practice purposes.

The Results: High Fidelity and High Impact

Initial scans of the printed models revealed remarkable fidelity between the printed anatomy and Charlotte’s original imaging data. Hounsfield Unit (HU) values from the CT scans of the model closely mirrored those of the real patient, demonstrating material accuracy and confirming that the prints could be used for realistic, scan-compatible planning.

Dog head 3D printed with Stratasys Digtial Anatomy Printer
CT scan of the dog (A,a) and the printed phantom (B,b)

For me, what’s most important is that the model reflects the patient’s anatomy and can be visualized using CT and MRI imaging modalities.” That enables both precise procedure planning and hands-on training.”

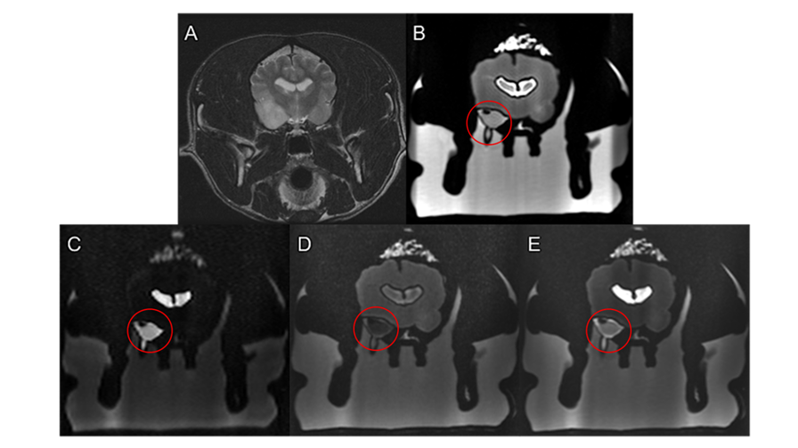
CT scans of a dog's brain showing a tumor
MRI scan of the dog (A) and the printed phantom with various analyses highlighting the tumor in red circle (B,C,D,E)

The Technology: Digital Anatomy Printer Materials

Stratasys’ Digital Anatomy Printer allows clinicians to replicate anatomical structures with lifelike realism, both in feel and appearance. In this case, it enabled the production of a canine brain model detailed enough for accurate imaging and resilient enough training purposes.For CT imaging, RadioMatrix™ material was used to fine-tune Hounsfield Unit (HU) values, producing realistic radiodensity in the model’s bone and soft tissue components. But the innovation didn’t stop there. The team also created a companion model optimized for MRI, using GelMatrix™ and TissueMatrix™ to simulate soft tissue signal. While MRI segmentation is inherently more complex than CT—especially for brain structures—this model provided sufficient anatomical information for meaningful planning and training.This dual-modality capability is a breakthrough. Stratasys is currently the only company able to produce 3D printed anatomical models that are detectable under CT and MRI without post-processing. In veterinary medicine, where multimodal imaging is rare and training tools are even rarer, this case represents a first-of-its-kind application—and a potential turning point for the veterinary neurosurgery field.

Translucent 3D printed dog head

The Impact: Training, Planning, and Beyond

The pilot study by Panek and his team highlights the created model's imaging properties and potential applications.

“This is the first time I’ve seen a model come out of a printer and go directly into MRI or CT for planning,” Dr. Panek notes. “It’s immediate, practical, and it works.”

In order to enhance the visual authenticity of the 3D printed phantoms, Jack Roney, a student in the School of Arts and Sciences at the university, hand-painted details to the printed models. Through his artistic expertise, he succeeded in transforming the printed model to a more accurate demonstration of Charlotte the dog.

3D printed colored dog head using Stratasys Polyjet Technology
A printed model hand painted by Jack Roney, a student in the School of Arts and Sciences at the university.

He envisions a future where such patient-specific models become standard in veterinary neurosurgery, not just for brain tumors, but for spinal and orthopedic procedures as well.

“Whether it’s the brain, spine, or any other structure, if it can be printed and imaged accurately, it can be used to plan safer, smarter treatments,” he says.

Even years after her passing, Charlotte’s scans—and her 3D printed twin—are helping advance care for countless animals.

“Her owner was surprised when we reached out after so many years,” Dr. Panek recalls. “But she was thrilled to know that Charlotte is still helping others, even from heaven.”

Materials and Methods

  • Printer Used: Stratasys Digital Anatomy Printer
  • Imaging Material: Digital Anatomy Printer materials
  • Segmentation Partner: Axial3D
  • Imaging Modalities: CT and MRI
  • Application: Brain tumor biopsy planning and training
  • Target Structures: Ventricular system, glioma tumor, major vessels (dorsal sagittal and transverse sinuses)

For the university submitted pre-print visit https://www.researchsquare.com/article/rs-6779582/v1

Download the free Case Study